Modernste Technik, innovative Materialien und handwerkliche Kunst bilden die Grundlage für ästhetischen und funktionellen Zahnersatz.
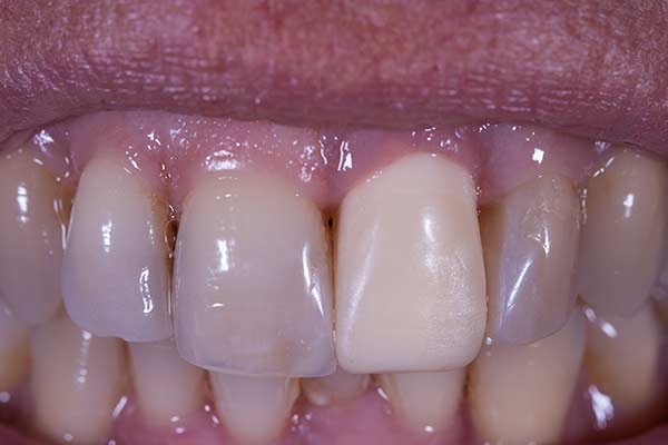
Vollkeramische Arbeiten
Metallfreie, hochästhetische Materialien bilden die Basis für natürlich wirkende Kronen und Brückenkonstruktionen. Der Natur am Nächsten. Materialien: E-max und Zirkon Materialien: Zirkon, Titan, PMMA Kunststoff für Provisorien Biokompatible Materialien
Veeners
Feinste Keramikschalen aus transluzenter Keramik zur Wiederherstellung verlorengegangener Ästhetik und Funktion. Veeners finden Anwendung bei Zähnen mit Verfärbungen, abgebrochenen Kanten, Rissen und bei Zahnlücken. Material: E–max
Implantatarbeiten
Implantate sind ein wichtiger Bestandteil der modernen Zahnmedizin. Durch das Setzen von Implantaten können verlorengegangene Zähne ersetzt, Kieferknochen stabilisiert und ein belastbares Fundament für weitere prothetische Versorgungen geschaffen werden. Materialien: Titan, Zirkon, E-max
